كوفيد يتحدى كل الاستراتيجيات
توصي منظمه الصحه العالمية بأن اى أعراض منا الاسهال أو المغص أو ارتفاع درجه الحراره أو فقد الشم أو فقد التذوق أو فقد الشهية أو تكسير الجسم أو صعوبة التنفس أو شكه بالحلق أو احتقان أو صداع غير مبرر أو كحه جافة.
هى إشتباه فى الإصابة بكورونا.
حتى يثبت العكس وتستمر الاعراض من يوم الى 14 يوم حسب شدة المرض.
نيجى بقى للجزء الغريب زملائى الاطباء اللي بقت بتستسهل الموضوع ومش بيقولو للناس بوضوح انهم عندهم كورونا ربنا هيحاسبهم لانهم مش بس بيضرو المريض لاء هما كمان بيساعدو في انتشار المرض.
يقول الدكتور فراج هارون مفيش حاجه اسمها برد اليومين دول كل اللي عنده برد عنده كورونا وانا أتفق معه بشدة.
مفيش حاجه اسمها تكسير من الرطوبه لو سمحت دي كورونا بلاش استخفاف.
مفيش حاجه اسمها دا يوم واحد بس سخونه وراحت.. لو سمحت دي كورونا.
يكمل د. فراج هارون قائلا
انا من يومين جالي مريض بشويه اختلال بالوعي....معروف لينا ك اطباء مخ واعصاب انه الكورونا بتزود نسبه حدوث الجلطات ولما سألت المريض عن اعراض متعلقه بالكورونا اتضحلي انه محول ليا من زميل قالهم شويه برد عادي ولازم ياخد راي مخ واعصاب.
قلتلهم يعملوا مقطعيه علي الصدر والمخ وده غالبا كورونا.
بعد ماروحت بعتولي الاشعه...المخ سليم لكن الصدر اكتر من ٨٠٪ منه مدمر تماما والمريض حاليا بالعنايه نرجو من الله له الشفاء.
ياريت بلاش نقلل من الشك ونصارح المرضي واهالينا بانه لازم نخلي بالنا الدنيا وحشه جدا بجد.
دعواتكم بالستر والصحه.
بروتوكول العلاج للحالات البسيطه و المتوسطه الاصابة.
برنامج العلاج كوفيد ١٩
1: خافض حرارة paracetamol OR Cetal OR Adole بنادول
3- 4 مرات يوميا
2: الكحه فينتو كاف افضلهم
او اوبلكس او جوافليكس أو الفيولين ب
Cough sedative
Expectorant
Herbal feel, Guava, grindelia
3: ريفاروسببر 10
Rivarospaire 10 mg
للسيوله مرة يوميا .
ليس شرط أن يكون D DIMER مرتفع
AZITHROMYCIN 500
4: أزيثرومايسين او اى بديل
لمدة ست ايام يكرر عند اللزوم بعد الرجوع للطبيب.
Antinal
5: انتينال فى حالة وجود اسهال فقط كبسولتين كل 12 ساعة لمدة ثلاثه ايام .
6: داونبرازول
Downprazol 40mg
مرة صباحا قبل الافطار.
أو انتودين 20 مج
مرتين يوميا قبل الاكل كل 12ساعة.
7: استيل سيستايين 200 ثلاث مرات يوميا.
المخالطين بدون ما سبق
8: فيتامين سي اى نوع
C retard كبسولات ٥٠٠
مرتين
Vitacid C ١٠٠٠ مج فوار
مرة يوميا
Lactoferin OR Pravotin
9: لاكتوفيرين أو برافوتين اثنين باكيت صباحا على نصف كوب ماء او لبن .
10: فيتامين د
اوسيوفورتين Ossofortin
كل يومين قرص
او
V-drop
كل خمسه ايام زجاجه ١٥ ملى على نصف كوب ماء للبالغين...
ويقاس نسبته فى الدم بعد عشر جرعات للكبار.
11: زنك Zinc 76 mg
كارنيفيتا زنك
اوكتا زنك
بريجفيت زنك ..أو
او اى منتج مماثل مرة واحدة يوميا ... البطن هتسيب شوية .
12: فيتامين ب
ميلجا أو نيوروفيت اقراص يوميا
Omega3 plus
13: اوميجا ٣ كبسولة مرة واحدة يوميا.
14: فيتامين E 1000
مرة واحدة يوميا
يتم تناول بروتين عالى مشوى و مسلوق شربه خضار و لسان عصفور . سوائل دافئة من ٩-١١ كوب فى 24 ساعة
مثل
نعناع .. يانسون .. تيليو .. ورق جوافة .. كركدية .. بابونج ( كاموميل ) ..
ممنوع
الموز و الشكولاته والفراولة و المكسرات واللب والسودانى والمشروبات الباردة .
المخالطين يتناولوا فيتامينات فقط: من رقم 8الى رقم 14
اذا ثبت إيجابية الحالة...
C.B.D.. E. Zn..Omega3
Lactoferin
مرة يومياً
هذا هو البروتوكول المتبع فى دول رومانيا و المانيا وايطاليا وفرنسا والنرويج ومستشفيات العزل..
فى ج .م .ع
العلاجات لا تتعارض مع أدوية الضغط والسكر واضطرابات الاعصاب بعد الرجوع للكلينيكال فارمسي ...
Please share the whole Arab world:
Covid challenges all strategies ...
The situation is really out of control ...
The World Health Organization recommends that any symptoms of
Diarrhea, abdominal cramps, high temperature, loss of smell, loss of taste, loss of appetite, breakage of the body, difficulty breathing, suspicion of the throat, congestion, unexplained headache, or a dry cough.
It is a suspected infection with Corona ...
Until proven otherwise, symptoms continue from one to 14 days, depending on the severity of the disease.
For the strangest part, my colleagues of doctors who remained easy on the matter, and they would not clearly tell people that they have Corona, may they be held accountable because they do not only harm the patient because they are also helping to spread the disease.
Faraj Haroun says, "There is no such thing as the two-day cold. All those who have a response have Corona ... and I strongly agree with him."
There is no such thing as a cracking from the moisture ... if you allow de corona ... no disregard.
There is nothing called this one day, but it was hot and gone .... if you allowed this.
D. Faraj Aaron, saying
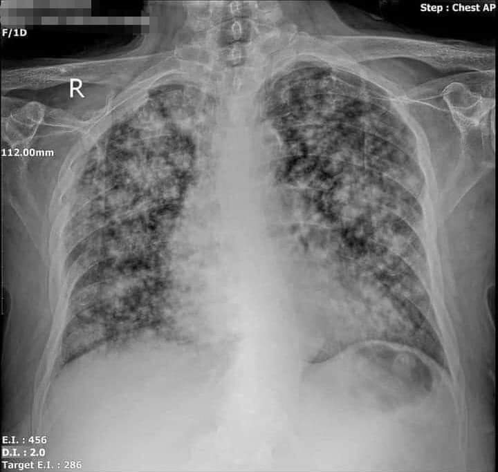
Two days ago, I was sick with a distorted consciousness disorder .... It is known to Lina as neurologists that it increases the incidence of strokes.
I told them to do two sections on the chest and brain, and that is mostly Corona.
After I did not receive the x-ray ... the brain is healthy, but the chest is more than 80% of it completely destroyed, and the patient is currently caring, we hope that God will recover him.
I wish I would not reduce the suspicion and be honest with the sick and our people that we have to leave our minds of this world very seriously.
Your invitations are covered and correct
=============================
Treatment protocol for mild and moderate cases.
Covid 19 treatment program
1: Paracetamol OR Cetal OR Adole Antipyretic
3- 4 times daily
2: Coughing Vento is enough of the best of them
Oplex, Guaflex, or Violin b
Cough sedative
Expectorant
Herbal feel, Guava, grindelia
3: Rivrospber 10
Rivarospaire 10 mg
Fluidity once a day.
DIMER is not required to be high
AZITHROMYCIN 500
4: Azithromycin or any alternative
For a period of six days, to be repeated if necessary after returning to the doctor.
Antinal
5: Antenal, in case of diarrhea, only two capsules every 12 hours for three days.
6: Downprazole
Downprazol 40mg
Once in the morning before breakfast.
Or Antodine 20 mg
Twice a day before eating every 12 hours.
7: Cysteine acetylcysteine 200 three times daily.
=================
Contact persons without the above ????????
=================
8: Vitamin C type
C retard 500 capsules
Twice
Vitacid C 1000 mg effervescent
Once a day
Lactoferin OR Pravotin
9: Lactoferrin or pravotin Two packets in the morning on half a cup of water or milk.
10: Vitamin D.
Ossofortin
Every two days a tablet
or
V-drop
Every five days, a bottle of 15 ml per half a cup of water for adults ...
It is measured in the blood after ten doses for adults.
11: Zinc 76 mg
Carnevita zinc
Octa Zinc
Pregift zinc ... or
Or any similar product once daily ... the stomach will lose a little.
12: Vitamin B.
Milga or Neurofit 1 tablet daily
Omega3 plus
13: Omega-3 capsules once daily.
14: Vitamin E 1000
Once a day
===============
===============
very very important
Eat high protein .. grilled and boiled, drink vegetables and tongue of a bird. Warm liquids from 9-11 cups in 24 hours
Such as
Mint, anise, telio, guava leaves, roselle, chamomile (camomile) ...
Forbidden
Banana, chocolate, strawberry, nuts, pulp, peanuts and cold drinks.
Contacts take vitamins only: From No. 8 to No. 14
If the case is positive ...
C.B.D .. E. Zn..Omega3
Lactoferin
Once a day
Best Regards
This is the protocol followed in the countries of Romania, Germany, Italy, France, Norway and isolation hospitals.
In G.A.A.
As long as you are in the safety of God ...
Treatments do not interfere with drugs for pressure, diabetes and nerve disorders after referring to Clinical Pharmacy ...



















